Recursos

conocimiento, colaboración y progreso

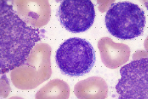
Recursos para el manejo de la LLC

En esta sección encontrarás recursos elaborados por expertos en LLC. Estas guías ofrecen información clara y actualizada sobre diagnóstico, tratamiento y manejo de la enfermedad, tanto para profesionales de la salud como para pacientes que buscan comprender mejor la LLC. Cada guía está diseñada para apoyar la toma de decisiones informadas y facilitar el acceso a recursos confiables y basados en evidencia científica.

Esta guía ofrece una visión clara y actualizada sobre el diagnóstico y manejo de la leucemia linfocítica crónica (LLC) Resume los criterios diagnósticos, las opciones terapéuticas disponibles y los avances más recientes, con el objetivo de apoyar la toma de decisiones clínicas y mejorar la atención integral de los pacientes.
Guía para el diagnóstico y el tratamiento de la leucemia linfocítica crónica y el linfoma linfocítico de células pequeñas del Grupo Español de Leucemia Linfocítica Crónica (GELLC)

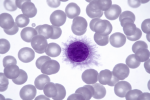
Tricoleucemia

En proceso de preparación.